Clínicas odontológicas Cali | FGZ Odontología Cali
  • Inicio
  • Servicios
  • FGZ Internacional
  • Casos de éxito
  • Nosotros
Contacto
Clínicas odontológicas Cali | FGZ Odontología Cali
Menu

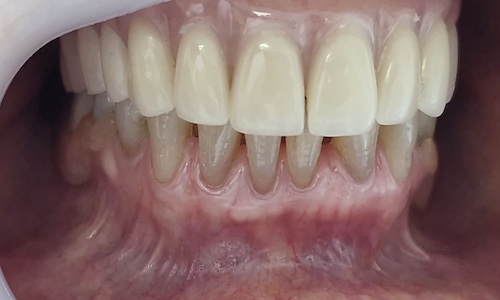
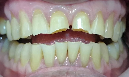
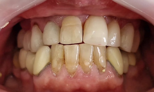
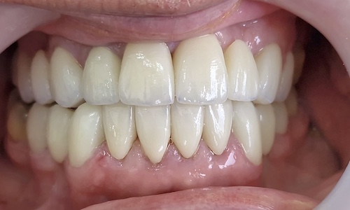
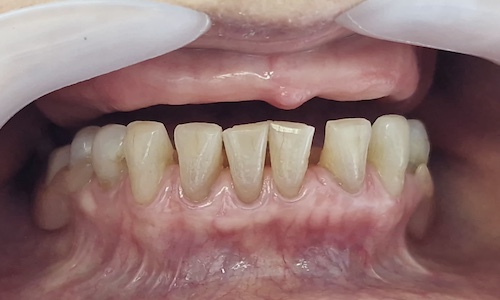
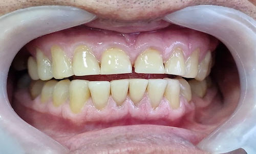
banner-casos Casos de éxito

Casos de éxito Casos de éxito
Ver más Reseñas
logo footer

Contáctenos

  • phone 6023169300 | 6023127706
  • phone 3162923528 | 3104292444
  • email fgz@fgz.com.co
  • location Cra. 100 #5-169 Cons. 602B Edif. Oasis. Unicentro Cali, Colombia 

Horario de atención

  • date Lunes a viernes

7:00 am a 12:00 pm
2:00 pm a 7:00 pm

  • date Sábado

7:00 am a 4:00 pm

Enlaces de interés

Estados financieros

Estados financieros

  • Estados Financieros 2016
  • Estados Financieros 2017
  • Estados Financieros 2018
  • Estados Financieros 2019
  • Estados Financieros 2020
  • Estados Financieros 2021
  • Estados Financieros 2022
  • Estados Financieros 2023
  • Estados Financieros 2024
  • Estados Financieros 2025

Políticas de tratamiento de datos

Presidente Asociación de Usuarios

Presidente Asociación de Usuarios

Contacto

  • Juan Pablo Arango A.
  • 3207897317
vigilado
FGZ 2025© Todos los derechos reservados | Sitio creado por 321 Agencia Digital
Cerrar
  • Inicio
  • Servicios
  • FGZ Internacional
  • Casos de éxito
  • Nosotros
  • ES
    • EN
    • ES
Contacto
  • Facebook
  • Instagram
  • Dónde estamos
  • Agendar cita
  • Noticias
  • Financiación

Escríbenos por WhatsApp

Llamar